MALDI Imaging Becomes IR-resistible: Going Multimodal for Advanced Biomedical Insights

Join us for an exclusive webinar featuring two global pioneers in spatial chemical analysis: Jonathan Sweedler from the University of Illinois Urbana-Champaign and Carsten Hopf from the Center for Mass Spectrometry and Optical Spectroscopy (CeMOS) at Mannheim University.
What you will learn:
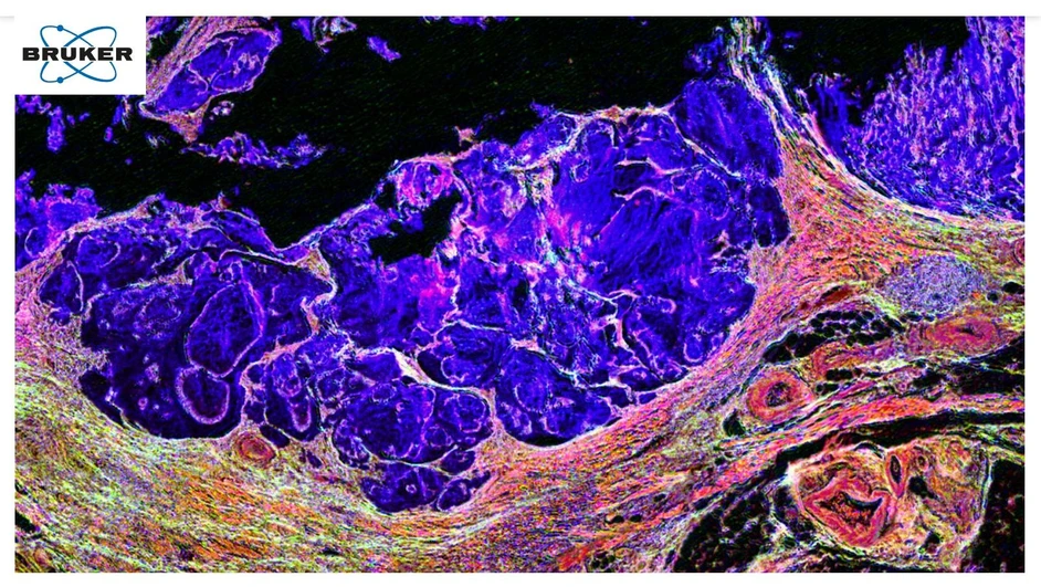
- How advanced multimodal imaging workflows enable highly specific ROI-focused molecular imaging in complex tissues.
- How combining QCL-based IR microscopy, fluorescence microscopy and MALDI Imaging allows rapid feature detection, and deeper molecular analysis.
Who should join:
- Experienced MALDI Imaging users aiming to improve spatial specificity, molecular identification confidence, and sample throughput.
- Scientists and researchers interested in multimodal imaging workflows that integrate IR and fluorescence microscopy to guide targeted MALDI Imaging.
Topics covered:
- New MALDI Imaging strategies for ROI-specific molecular analysis.
- Multimodal integration for rapid tissue screening and biological feature labeling.
Presenter: Carsten Hopf, Ph.D.
Carsten Hopf is a Professor of Bioanalytics and Drug Discovery at Mannheim University of Applied Sciences and the Director of the Center for Mass Spectrometry and Optical Spectroscopy (CeMOS). A leader in MALDI Imaging, his work focuses on advancing various imaging modalities to map the spatial distribution of drugs, lipids, and proteins in tissues and cells for complex diseases, such as cancer and Alzheimer's.
Presenter: Jonathan Sweedler, Ph.D.
Jonathan Sweedler holds the Chair in Chemistry at the University of Illinois Urbana-Champaign and is the Editor-in-Chief of Analytical Chemistry. He's a pioneer in analytical neurochemistry, focusing his research on developing ultrasensitive mass spectrometry and imaging tools to uncover the chemical secrets of individual cells and complex tissues.
